

Mūsų privalumai:

Mūsų kainos:
| Pavadinimas | Kaina, € |
|---|---|
| Profesionali burnos higiena | 90 |
Akcija: Nuo kovo 1 d. visiems pacientams atliekant profesionalią burnos higieną, prireikus suteikiama papildoma konsultacija su nemokama panoramine nuotrauka.
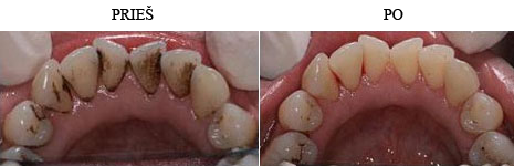
Jonathan odontologijoje daug dėmesio skiriame odontologinių susirgimų profilaktikai. Profesionalus dantų nuvalymas (higienos atlikimas) leidžia pamatyti ankstyvas karieso proceso stadijas, pašalina dantenų kraujavimą, skausmingumą, nemalonų burnos kvapą, padeda prižiūrėti jau atstatytus dantis, netgi nustatyti žalingus mitybos įpročius.
Profesionali burnos higiena – apnašų, susikaupusių ant dantenų paviršiaus ir po dantenomis, šalinimas rankiniais ir ultragarsiniais instrumentais bei danties paviršiaus poliravimas šepetėliais, guminėmis galvutėmis, juostelėmis, dantų siūlais, specialiomis poliravimo pastomis bei oro srovės ir šveičiamųjų medžiagų sistema „AirFlow“ – tai emalio giliųjų pigmentacijų, dantų apnašų pašalinimas iš sunkiai pasiekiamų vietų, naudojant specialų aerozolį, veikiantį suspausto oro principu. Profesionaliajai burnos higienai priklauso ir remineralizuojamoji terapija, kurios maloniausias efektas – natūralios danties emalio spalvos atstatymas. Šios procedūros atlikimo kiekį ir dažnumą nulemia karieso intensyvumo lygis ir dantų apnašų formavimosi greitis.
Pacientams taip pat suteikiamos individualios rekomendacijos dėl burnos ertmės higienos metodų ir priemonių parinkimo, įvertinant burnos ertmės higieninę būklę, kontroliuojant higienos priemonių efektyvumą, privalomai konsultuojant įvairiais odontologiniais klausimais, sukuriant profilaktinių procedūrų laikymosi motyvaciją;
Mūsų klinikoje teikiamos visų rūšių odontologinės priežiūros paslaugos.
Apsilankymai klinikoje vykdomi iš anksto susitarus, o prireikus skubios pagalbos, visada gausite skubią pagalbą.
© 2023, All Rights Reserved